Presenters

  • Troy Bankhead, VP Marketing

    Troy Bankhead

    VP Marketing

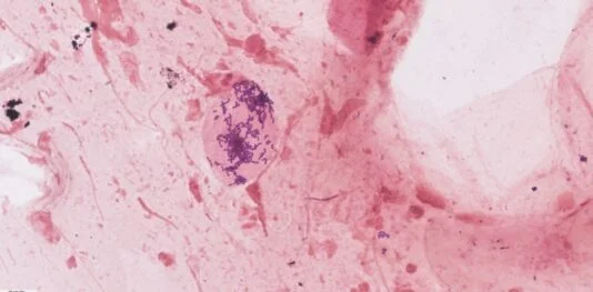
In the second episode of our “Pioneers of Digital Pathology” webinar series, we discuss five reasons to go digital for Bacteriology Gram Stains. We cover how going digital can transform a negative-contribution test into a positive-contribution test, enhance efficiencies in collaboration and workflow, and mitigate staffing challenges.

This product is for research use only.

Check out more webinars